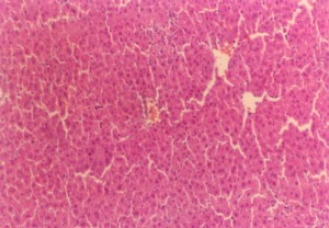
垂盆草エキス高容量+四塩化炭素により損傷を受けたマウス肝臓(200×)
suibon_ccl4_05
|
ご注意
本サイトは、医学的な診断の代替となるものではありません。
肝臓や垂盆草に関する薬学的・医学的な記事が多数ありますが、それぞれ一般的な内容を筆者個人が収集して掲載したものであり、読者様個別の症状に対しての正確性は一切保証できません。
必ず医師による医療を正しく受けた上で、本サイトの記事を参考にしていただけたらと考えています。
管理人への連絡方法
管理人へのご連絡は、下記アドレスからお気軽にどうぞ。
本サイトでは垂盆草の販売は行っていませんが、簡単に買えますので、お問い合わせください。
|


Leave a Comment